Skip to Main Content

nacken halswirbelsaule


Wissenswertes über die kraniozervikale Instabilität & EDS

Gymnastik und Yoga fielen Ihnen leicht, da Sie super beweglich waren. Durch das fortgesetzte Training sprangen Ihre Schultern und Knie immer wieder aus der Position. Eine Reihe kleiner, aber schwerwiegender Traumata hat Sie sowohl sportlich als auch schulisch und sozial eingeschränkt. Gehirnnebel und Müdigkeit waren häufige Themen. Sie waren bei unzähligen Ärzten mit widersprüchlichen Informationen. … Continued

Das Beste, was sie seit ihrem Unfall gefühlt hat

Am 22. September 2005 war Dominga in einen Autounfall verwickelt, der ihr Leben verändern sollte. Als Folge dieses Autounfalls hatte sie Kopfschmerzen, Schmerzen im oberen Nacken, Schmerzen in der Schulter und den Schulterblättern sowie Schmerzen im linken Arm und unteren Rücken. Sie ging zu ihrem Hausarzt, der sie sofort zu Dr. Schultz schickte. Sie begann … Continued

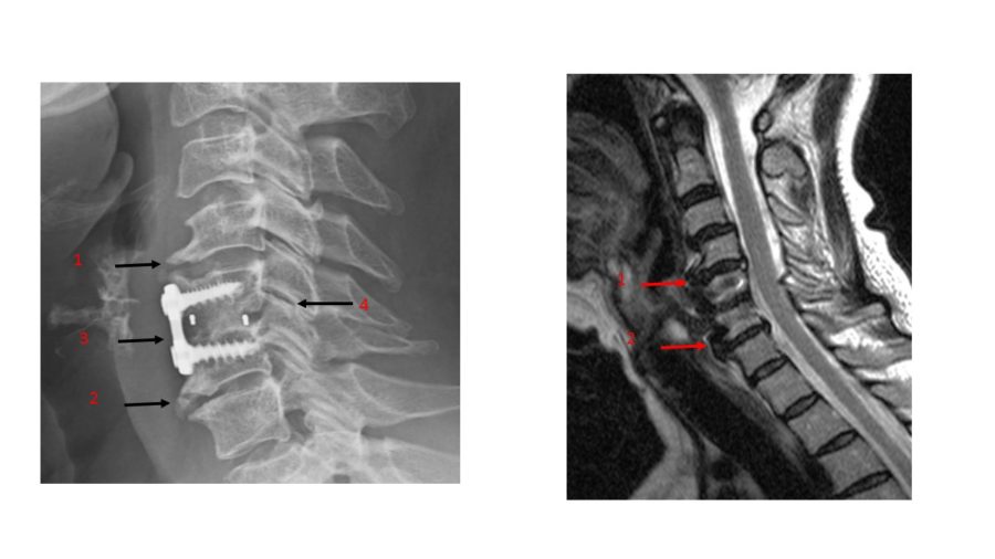
Neck Surgery and Its Consequences: Adjacent Segment Disease

Nackenoperation und ihre Folgen: Anschlusssegmenterkrankung

In der Centeno-Schultz-Klinik haben wir uns dazu verpflichtet, jedem Patienten die fortschrittlichste nicht-chirurgische Behandlung für häufige orthopädische Erkrankungen zu bieten, wobei wir Injektionen mit Thrombozyten, Zytokinen und Stammzellen einsetzen. Die mit einer Operation verbundenen Risiken sind zahlreich und wurden in früheren Blogs besprochen. Dazu zählen: Infektion, Versagen, anhaltender oder erhöhter Schmerz, eine Veränderung der Biomechanik … Continued

CSF-Flussmessung Und Genesung Bei CCJ-Instabilität

Wir nähern uns dem Vierteljahrhundert des 21. Jahrhunderts, und die Technologie im Bereich der Medizin entwickelt sich weiterhin in einem unglaublichen Tempo. Dank Fortschritten in der Bildgebungstechnologie werden wir in den kommenden Jahrzehnten mehr über das neuromuskuloskelettale System erfahren als in den letzten hunderten Jahren. Ein klares Beispiel dafür liefern zwei Ärzte, Scott Rosa und … Continued

Kraniozervikale Instabilität_Ein neues Band wurde wiederentdeckt

Folge 4: Kraniozervikale Instabilität: Neues Band entdeckt

Es gibt Bänder, die den Kopf halten, und sie können wie jedes andere Band verletzt werden. Manche dieser Strukturen kennt der Durchschnittsarzt nur oberflächlich, manche nur Superspezialisten, und manche, wie das heutige Band, sind so unbekannt, dass sie erst von Wissenschaftlern wiederentdeckt werden mussten. Das ist alles sehr spannend, denn dieses Wissen ist nützlich für … Continued

Was ist der kraniozervikale Übergang

Was ist der kraniozervikale Übergang?

Die Kopfschmerzen begannen plötzlich und ohne Vorwarnung. Es handelt sich nicht um Kopfschmerzen wie nach übermäßigem Alkoholkonsum oder einem Streit mit den Schwiegereltern. Diese Kopfschmerzen reagieren weder auf Medikamente noch auf Ruhe. Sie und Ihre Familie sind besorgt. Ihr Arzt vermutet ein Problem im oberen Nackenbereich. Er erwähnte etwas über die kraniozervikale Übergangsregion. Was ist … Continued

What is a cervical disc?

Was ist eine Halswirbelscheibe?

In der Wirbelsäule befinden sich 23 Bandscheiben: 6 in der Halswirbelsäule (Nacken), 12 in der Brustwirbelsäule (mittlerer Rücken) und 5 in der Lendenwirbelsäule (unterer Rücken). Die Aufgabe der Bandscheibe ist es, der Wirbelsäule Flexibilität und Stabilität zu verleihen. Die Bandscheibe nimmt bei verschiedenen Bewegungen etwa 70 % der auf die Wirbelsäule wirkenden Kräfte auf und … Continued


Aufrecht-MRT: Kann es eine CCJ-Instabilität diagnostizieren? [VLOG]

CENTENO-SCHULTZ-KLINIKABONNIERENABONNIEREN Hey, hier ist Dr. Centeno. Und was ist ein Aufrecht-MRT? Und kann es eine CCJ-Instabilität diagnostizieren? Also, eine CCJ-Instabilität bedeutet, dass sich die oberen Nackenwirbelknochen aufgrund schlaffer Bänder zu viel bewegen. Es gibt viele verschiedene Bänder dort oben, die gerissen, teilweise gerissen, gedehnt oder einfach nur locker sein können, aufgrund von anderen Problemen. Und … Continued

Was ist die Halswirbelsäule? Verständnis ihrer Rolle und Funktionen

Nackenschmerzen tragen weltweit erheblich zur Behinderung bei und betreffen Menschen jeden Alters und beider Geschlechter. Laut der Global Burden of Disease Study 2019 sind Nackenschmerzen die vierthäufigste Ursache für gelebte Lebensjahre mit Behinderung (YLD) weltweit, was etwa 43,9 Millionen YLDs entspricht. Nackenschmerzen können durch verschiedene Faktoren wie schlechte Haltung, Traumata, degenerative Veränderungen und Entzündungen verursacht … Continued